UNIVERSITY CLINIC FOR NEUROSURGERY

Gelenkzysten

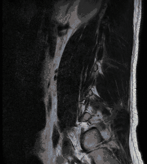
Gelenkzysten treten meist in Folge einer degenerativen Erkrankung der Wirbelgelenke (Facetten-Gelenke) auf und können Ausdruck einer Instabilität sein. Da Gelenkzysten zu einer deutlichen Einengung des Wirbelkanals führen können, können sie mit Beschwerden einhergehen, die einer Spinalkanalstenose gleichen.

Bei entsprechenden Beschwerden und Versagen konservativer Therapie bzw. Auftreten von neurologischen Defiziten kann eine operative Resektion erfolgen.

Gerne beraten wir Sie über die therapeutischen Möglichkeiten.

Last Modification: 12.07.2023 - Contact Person:

Sie können eine Nachricht versenden an: Webmaster
Sicherheitsabfrage:
Captcha
 
Lösung: